What Is Trisomy7

[PDF] Double Aneuploidy Trisomy 18 and XXY in a Boy Semantic Scholar

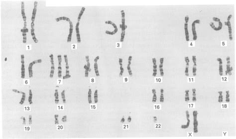
What Is Trisomy7. You have come to the right place as i am going to tell you everything about trisomy 7 in a very simple explanation. Specifically, trisomy is a classification of conditions.

[PDF] Double Aneuploidy Trisomy 18 and XXY in a Boy Semantic Scholar
[PDF] Double Aneuploidy Trisomy 18 and XXY in a Boy Semantic Scholar

What is edwards syndrome (trisomy 18) like? Uniparental disomy of 7 summary a rare chromosomal anomaly syndrome with a highly variable phenotype. Web trisomy a state in which a diploid (2) organism has three chromosomes of one type in a cell or in all cells. 1 all surviving children are mosaics with variable and nonspecific clinical. Web trisomy is the most common type of aneuploidy, conditions caused by an abnormal number of chromosomes. Web a trisomy is a chromosomal condition characterised by an additional chromosome. Gregory mosolf answered pediatrics 27 years experience extra chromosome: Trisomy 7 present in 2 of 7 breast ne carcinomas (defined as > 50% cells positive for chromogranin or synaptophysin) from: We recently launched the new gard website and are still. Specifically, trisomy is a classification of conditions.

Specifically, trisomy is a classification of conditions. Uniparental disomy of 7 summary a rare chromosomal anomaly syndrome with a highly variable phenotype. Web trisomy a state in which a diploid (2) organism has three chromosomes of one type in a cell or in all cells. Web trisomy is the most common type of aneuploidy, conditions caused by an abnormal number of chromosomes. 1 all surviving children are mosaics with variable and nonspecific clinical. Web national center for advancing translational sciences. Web a trisomy is a type of aneuploidy (an abnormal number of chromosomes). A person with a trisomy has 47 chromosomes instead of 46. For example, down's syndrome individuals are trisomic for. Trisomy 7 present in 2 of 7 breast ne carcinomas (defined as > 50% cells positive for chromogranin or synaptophysin) from: Specifically, trisomy is a classification of conditions.